• https://revistaelectronica.unlar.edu.ar/
Revista Científica de la Facultad de Ciencias Veterinarias
ayamtoto
Ir al contenido principal Ir al menú de navegación principal Ir al pie de página del sitio

Revista Científica de la Facultad de Ciencias Veterinarias

  • Actual
  • Archivos
  • Equipo editorial
  • Instrucciones a los Autores
  • Acerca de la Revista
    • Acerca de la Revista
    • Declaración de privacidad
    • Políticas sobre Conflicto de Intereses y Consentimiento, Derechos Humanos y Bienestar Animal
    • Contacto
  • Declaración de Ética
  • Avisos
Buscar
  • Entrar

Número actual

Vol. 36 Núm. 2 (2026)

Publicación continua

Publicado: 2026-02-18

Portada

  • Imagen de portada
    Cubierta
    1
    • PDF

Páginas Preliminares

  • Páginas preliminares
    5
    • PDF

Editorial

  • Más allá de la raza: Multivariables clínicas asociadas a parámetros adaptativos en la ingeniería de biodatos para la selección moderna de reproductoras
    Oscar Roberto Martínez López
    1
    • PDF

Medicina Veterinaria

  • Imagen de portada
    La nicotinamida ribósido, un precursor y suplemento de NAD, reduce el daño hepático causado por la sepsis
    Zeliha Yetim
    7
    • PDF (English)
    • HTML (English)
  • Imagen de portada
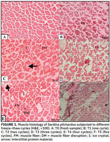
    Alteraciones histológicas y microbiológicas en sardinas sometidas a ciclos repetidos de congelación y descongelación: implicaciones para la integridad muscular y la seguridad alimentaria
    Mounia Megaache, Nezar Adili, Hafsa Akkari, Omar Bennoune, Ferhat Nouicer
    6
    • PDF (English)
    • HTML (English)

Medicina Veterinaria - Reporte de Caso

  • Imagen de portada
    Síndrome Hepatocutáneo en un Perro con Ehrlichiosis Concurrente: Reporte de caso
    Mehmet Maden, Mahir Kaya, Kezban Topaç, Orhun Göğebakan, Nuri Kaan Dönmez, Erdem Gülersoy
    6
    • PDF (English)
    • HTML (English)

Producción Animal

  • Imagen de portada
    Efectos de diferentes diluyentes en el almacenamiento a corto plazo del semen de carneros de la raza Karaman del Sur
    Tutku Can Acısu, Ülkü Gülcihan Şimşek, Tülay Canatan Yılmaz, Aslıhan Çakır Cihangiroğlu, Nida Badıllı, Emre Kaya, Yasin Baykalır
    8
    • PDF (English)
    • HTML (English)
Ver todos los números
  • vm777
  • jejuslot
  • tt789
  • vm777
  • mega77
  • rejekibet
  • km789
  • apk hijau
  • ladang78
  • ladang78

rokokslot

rokokslot

https://abhyasedu.com/

https://bloomboomdelivery.com/green-living/best-housewarming-gifts-for-plant-lovers/

https://visionpublisher.info/

https://kursusonline.co.id/

toto slot

Rokokslot

Rokokslot

https://jurnal.mediailmiahpersada.com/

rokokslot

SCImago Journal & Country Rank

Idioma
  • English
  • Español (España)

Palabras clave

Esta Revista es indizada y/o Catalogada en:

• Science Citation Index (SCIExpanded)

• SWETS Blackwell Database
• ELSEVIER Extended Science Direct Navigator Database
• Ulrich’s Periodicals International Directory
• Veterinary Bulletin
• Index Veterinarius
• CAB Abstracts Database - UK
• Base de Datos Wildlife & Ecology Studies Worldwide

• Base de Datos de Revistas Venezolanas de Ciencia y Registro de Publicaciones Científicas y Tecnológicas Venezolanas del FONACIT - MCT
• Asociación de Editores de Revistas Biomédicas Venezolanas (ASEREME)
• Asociación Venezolana de Editores de Publicaciones de las Ciencias del Agro (AVEPAGRO)
• Base de Datos “Informe Académico” (Thomson-Gale) USA
• Base de Datos LILACS (Literatura Latinoamericana de Ciencias de la Salud)
• Base de Datos LIVECS (Literatura Venezolana en Ciencias de la Salud)
• Sociedad Iberoamericana de Información Científica (SIIC Data Bases), siicsalud. www.siicsalud.com
• Citefactor Journals Citefactor.org. Director Indexing of International Research Journals
• Institute for Scientific Information (ISI): Research Alert® y Focus on: Veterinary Science & MedicineTM

https://www.pmoffice.gov.fj/courses/

Revista Científica. Facultad de Ciencias Veterinarias. Universidad del Zulia. Núcleo Agropecuario Ciudad Universitaria. Apartad. 15252, Maracaibo 4005-A Estado Zulia-Venezuela.

p-ISSN: 0798-2259    l- ISSN: 2477-944X    e-ISSN: 2521-9715

Correo: revistafcv@gmail.com

Esta obra está bajo la licencia:
Creative Commons Reconocimiento-NoComercial-CompartirIgual 4.0 Internacional (CC BY-NC-SA 4.0)

© 2021 Sistema de Servicios Bibliotecarios y de Información. Universidad del Zulia. Maracaibo, Venezuela

apk slot

jogjatoto

bandungtoto

https://hellsandbulles.com/

toto

padangtoto

batmantoto

ternatetoto

slot online

batmantoto

DEPO 5K

lotto01

slot thailand

toto

toto slot

https://www.udep.edu.pe/derecho/

toto

https://jsemar.id/

https://journal.faibillfath.ac.id/

https://mazalat.stisa-ashshofa.ac.id/

situsjitu

Agen Toto 4D

Toto 4D

Slot 4D

https://jsdlp.ogeesinstitute.edu.ng/

https://someow.com/

https://pastelae.com/

https://businessintelligenceinfo.com/

https://navajopublicwater.org/

situsjitu

https://journalborneo.com/

situs slot gacor

laetoto

slot thailand

toto

situs togel

batmantoto

situs togel

bandungtoto

slot88

toto

toto

slot

https://jsemar.id/

https://journal.faibillfath.ac.id/

https://mazalat.stisa-ashshofa.ac.id/

https://ejournal.iwima.ac.id/

https://journal.lpp-chani.org/

bandungtoto

toto 4d

badak178

https://civilizationuniv.edu.ye/

https://www.itlsanjose.edu.co/

https://neust.journalintellect.com/

TOTO 4D

TOTO 4D

TOTO 4D

TOTO 4D

TOTO 4D

Toto 4D

https://www.nwu.edu.ph/about

https://www.nwu.edu.ph/academics

https://www.nwu.edu.ph/colleges

https://www.nwu.edu.ph/contactus

Toto 4D

TOTO 4D

cabang777

Acerca de este sistema de publicación